Skip Menu
Continue
  • 7108 Boone Street Suite A,
  • Fairview, TN 37062
  • Home
  • About Us
    • Our Office
    • New Patients
    • Testimonials
  • Meet Dr. Dotherow
    • Seth Dotherow, DMD
  • Services
      • Ceramic Crowns
      • Dental Bridges
      • Dental Fillings
      • Emergency Treatment
      • Extractions
      • Implant Dentistry
      • Oral Cancer Screening
      • Oral Exams
      • Pediatric Dentistry
      • Periodontal Treatment
      • Preventive Program
      • Sedation Dentistry
      • Teeth Whitening
      • Veneers
    • View All
  • Dental Health
  • Contact
    • Contact Us

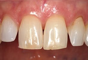
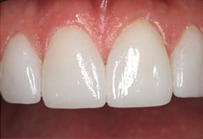
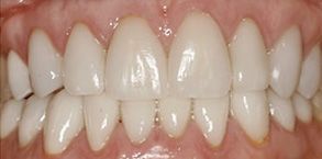
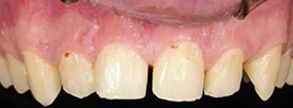
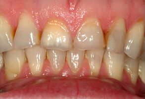
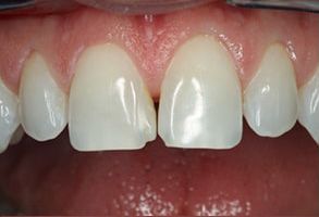
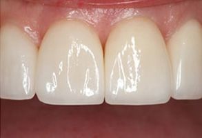
Smile Gallery

Additional Information

Our Location

7108 Boone Street Suite A
Fairview, TN 37062
(615) 799-9964